- カテゴリー一覧
- 月別アーカイブ
- 2026年1月 (1)
- 2025年12月 (4)
- 2025年11月 (3)
- 2025年10月 (5)
- 2025年9月 (1)
- 2025年5月 (1)
- 2025年1月 (1)
- 2024年1月 (1)
- 2023年12月 (1)
- 2023年1月 (1)
- 2022年12月 (1)
- 2022年11月 (1)
- 2022年1月 (1)
- 2021年12月 (1)
- 2021年9月 (1)
- 2021年4月 (1)
- 2020年10月 (1)
- 2020年9月 (1)
- 2020年8月 (1)
- 2020年5月 (1)
- 2020年3月 (2)
- 2020年2月 (1)
- 2020年1月 (2)
- 2019年10月 (2)
- 2019年5月 (1)
- 2019年4月 (1)
- 2019年3月 (2)
- 2019年2月 (1)
- 2018年9月 (2)
- 2018年6月 (1)
- 2018年4月 (1)
- 2018年2月 (1)
- 2018年1月 (1)
- 2017年12月 (2)
- 2017年8月 (1)
- 2017年4月 (1)
- 2017年1月 (1)
- 2016年1月 (2)
- 2015年4月 (1)
- 2015年1月 (1)
- 2014年5月 (1)
- 2014年3月 (1)
- 2014年1月 (1)
- 2013年9月 (1)
医療法人社団聖仁会 呂歯科診療所
〒216-0006
川崎市宮前区宮前平1-10-12桔梗ビル201
※駅前すぐです
TEL 044-865-9700
SSTとPSTを用いたインプラント埋入症例
2025年12月26日
患者:Y.S 様
初診日 :2018年10月
主訴 :上顎前歯部審美障害、臼歯部補綴治療
治療計画 :
1.前装冠除去、メタルコア除去にて破折確認の為インプラント治療となる
2.右上1番 P.S.T(ポンティックシールドテクニック)
3.右上2番 S.S.T(ソケットシールドテクニック)
4.左上1番 S.S.T(ソケットシールドテクニック)
5.左上2番 S.S.T(ソケットシールドテクニック)
6.左下6・7番 インプラント
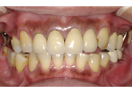
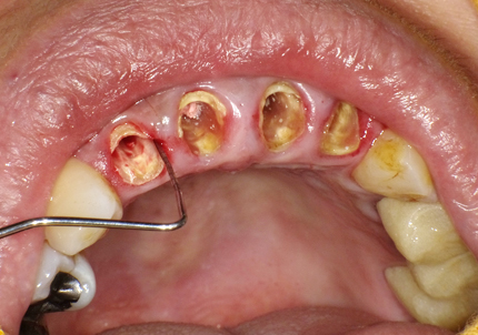
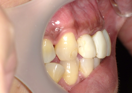
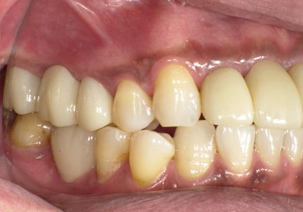
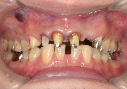
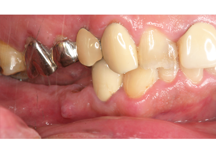
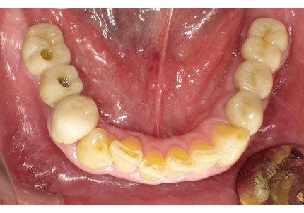
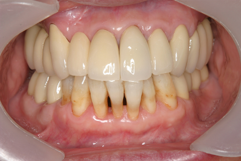
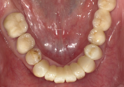
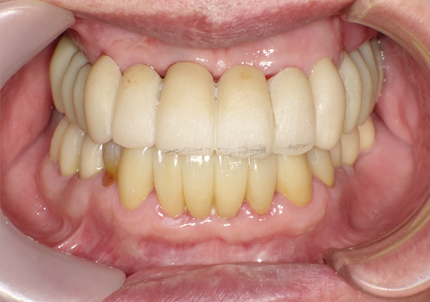
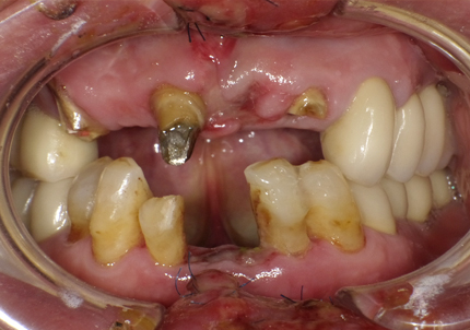
1.初診時口腔内写真(2018年10月)




➡審美領域における骨吸収を防ぐためのPET技法の歴史
近年、審美インプラント治療の進化により術者サイドの技術的、肉体的ストレスの軽減、患者サイドへの外科的侵襲度の劇的な軽減を可能とするテクニックが報告されている。審美領域で抜歯を行う際、束状骨の吸収により抜歯窩の形態を維持できず、唇・頬側の骨吸収が起こる。
これに対し、2007年にMaurice、石川、船登らは、ポンティックサイトであれば歯根を軟組織下に保存することで、歯周組織ごと歯槽堤を保存するRST(Root Submergence Technique)を発表した。2010年Hürzelerらは、インプラントサイトで抜歯即時埋入部位を唇舌的に分割し、唇側の歯牙片を保存して舌側の歯牙片を抜歯するSST(Socket Shield Technique)を報告した。
さらに2016年にGluckmanらは、ポンティック部位に歯牙片を残すPST(Pontic Shield Technique)を発表した。 Gluckman H, Salama Mらはこれらの3つテクニック【RST、SST、PST】をPET(Partial Extraction Therapy)と総称した。また、現在では船登らによりHIT placement(Hybrid Implant Tooth placement)もPETに加えられている。
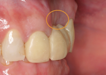
【 通常の抜歯により唇側骨(外側の骨)が吸収しへこんだ症例 】



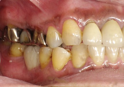
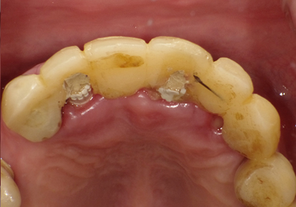
2.前装冠除去、メタルコア除去


3.サージカルガイド(インプラント埋入用)作製(2019年3月)


➡PET(Partial Extraction Therapy)パーシャルエクストラクションセラピーとは?
以下4つの技法の総称
① RST(Root Submergence Technique)ルートサブマージェンステクニック
・・・歯と歯の間(ポンティックサイト)で有れば歯根を軟組織下に保存することで、歯周組織ごと歯槽堤を保存する
② PST(Pontic Shield Technique)ポンティックシールドテクニック
・・・歯と歯の間(ポンティックサイト)で有れば歯根片を軟組織下に保存することで、歯周組織ごと歯槽堤を保存する
③ SST(Socket Shield Technique)ソケットシールドテクニック
・・・インプラント治療で抜歯即時埋入部位を唇舌的に分割し、唇側(外側)の歯牙片を保存して舌側(内側)の歯牙片を抜歯して抜歯窩治癒後の顎の骨の唇側(外側)の吸収を抑える技術
《 適応症 》
・ う蝕、メタルポストコアが太く、残存歯質が薄くて保存不可能
・ 根尖病変による予後不良の診断を予測する
・ 歯根破折やマイクロクラックを認め予後不良の診断を予測する
・ 外部吸収を認め予後不良の診断を予測する
・ いわゆる戦略的抜歯
④ H I T(Hybrid Implant Tooth placement)ハイブリッドインプラントトゥースプレイスメント
・・・抜歯直後の歯槽骨や歯ぐきがまだ残っている状態を最大限活かして骨が減る前にインプラントを埋入する治療法
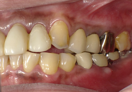
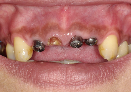
4.右上2番 S.S.T(ソケットシールドテクニック)


5.左上1番 S.S.T(ソケットシールドテクニック)


6.左上2番 S.S.T(ソケットシールドテクニック)


7.サージカルガイドによるインプラント埋入手術


8.テンポラリーヒーリングアバットメント装着して仮歯の作製
➡テンポラリーヒーリングアバットメントとは・・・インプラント手術後、歯ぐき(軟組織)が治癒し、最終的な人工歯が装着されるまでの間、インプラントに装着される一時的な土台のこと


9.仮歯装着


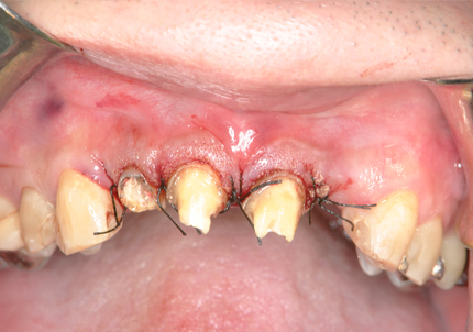
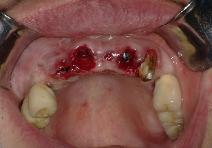
10.右上1番 P.S.T(ポンティックシールドテクニック) (2019年10月)


11.舌側歯牙片の抜歯


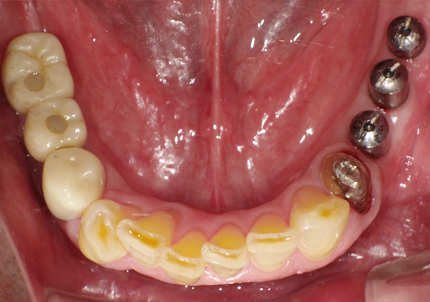
12.左下6・7番埋入サージカルガイド作製


13.サージカルガイドによる埋入手術(2019年5月)


14.インプラント埋入


※ 初期固定35N/cm確認する


※ 埋入後の縫合は強さに十分注意する
15.角化歯肉の獲得の為に歯肉弁根尖側移動術(2019年8月)
➡歯肉弁根尖側移動術とは・・・歯やインプラントの周りを磨きやすくし、長持ちさせるため、歯ぐきを下の方向(歯の根の方)へ動かして固定し、安定した歯ぐきを増やす手術



① 炭酸ガスレーザーにてインプラントヘッド部のパンチアウト

② 骨頂部の歯肉を骨膜を残して剥がし、反転する


ISQ値 79、81 良好な数値
➡ISQ値(オステル値)とは・・・Implant Stability Quotientの略
「インプラント安定指数」といい、安定性を示す指標の一つ。インプラントが骨にどれくらいしっかり固定されているかを数値で表したもの。1~100の数値で表され、一般的には、70以上:比較的安定、80以上:かなり安定と判断されることが多い。このISQを測定する器械をISQ測定器、もしくは共振周波数分析器という。
16.歯肉弁を根尖側に移動し縫合を行ったのち、歯周パックにて創面の保護


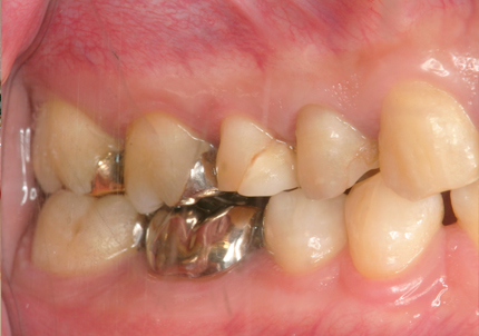
17.シリンダーテック作製(2019年10月)



側方から見て形状の確認

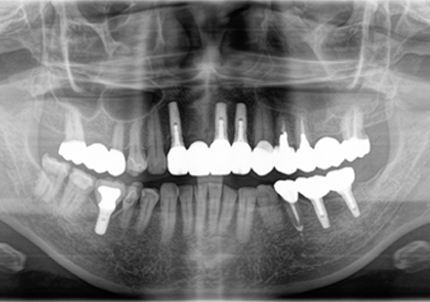
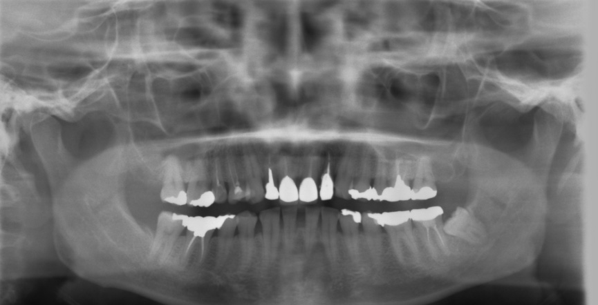
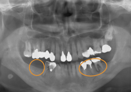
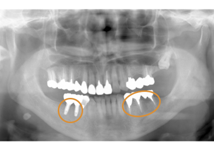
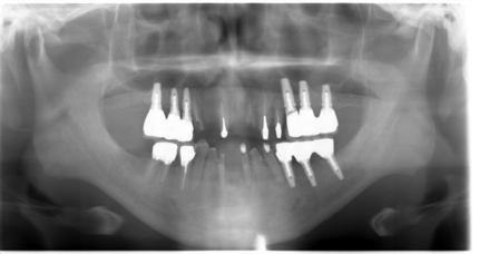
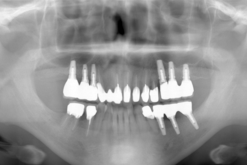
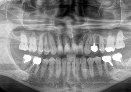
18.インプラント埋入後 パノラマレントゲン

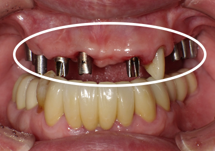
19.アバットメント装着(2020年1月)


ISQ値 右上2 (71) 左上1 (73) 左上2 (72)
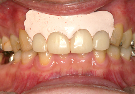
20.最終補綴作製開始(2020年6月)


21.ジルコニアブリッジ試適(2020年12月)


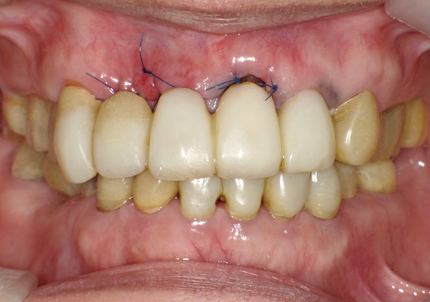
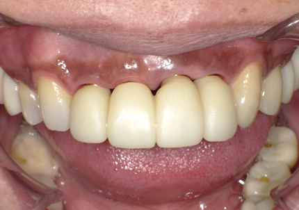
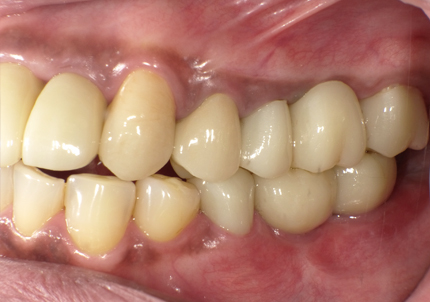
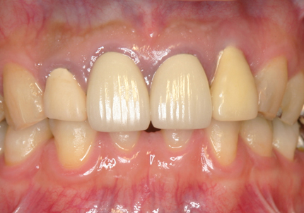
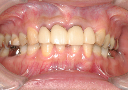
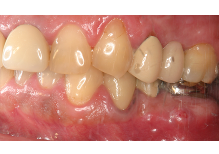
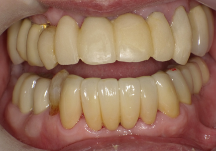
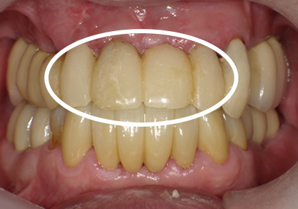
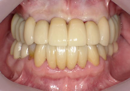
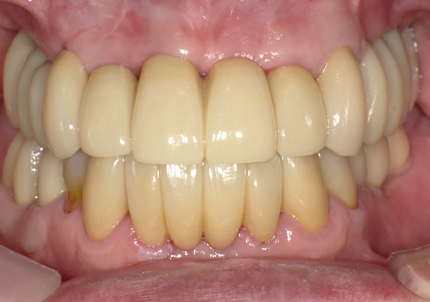
22.最終補綴物完成・装着口腔内写真(2021年1月)







23.自然な形態のインプラント歯頚部


適切な治療計画と治療技術を有することで、このような自然な形態のインプラント歯頚部を形成することができます。
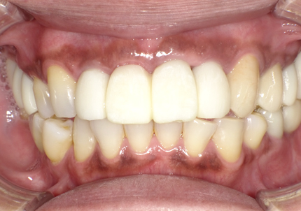
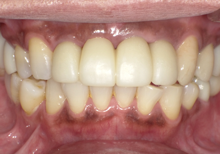
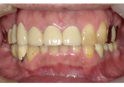
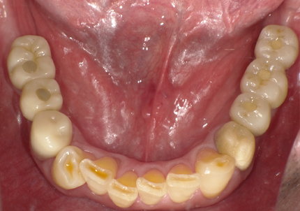
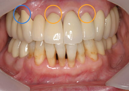
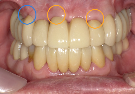
24.口腔内写真

【 2018年 術前 】

【 2025年5月 現在 】
歯冠長延長術・矯正的抜歯を用いた審美的治療
2025年12月26日
初診日 :2014年6月30日
主訴 :補綴物脱離、前歯部審美障害
治療計画 :
1.左上2番矯正的抜歯
2.右上1番・2番、左上1番の根管治療
3.右上3番から左上3番の歯冠長延長術
4.補綴治療
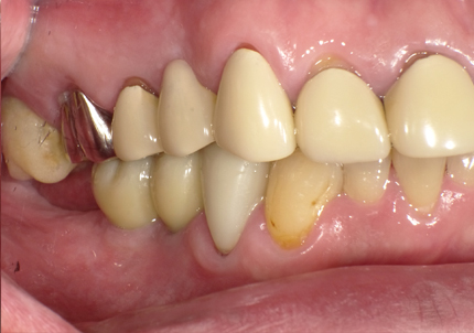
1.初診時口腔内写真(2014年6月)




2.左上2番 矯正的抜歯(2014年9月)

主訴の左上2番う蝕歯は、抜歯後歯頚線を揃える目的で矯正的挺出の後に抜歯する
3.歯冠長延長術(2014年11月)
➡ 歯冠長延長術とは・・・歯ぐきや骨の位置を調整して、歯の見えている部分(歯冠)を意図的に長くする治療。歯ぐきがかぶって歯が短く見える審美的な問題、歯周病治療や補綴治療を成功させるための前処置等として行われる。




【 縫合 】

【 歯周パック 】
4.抜歯・術後経過

歯冠長延長術、矯正的抜歯により
前歯部歯頚線が揃う(2014年12月)

仮歯にて治癒を待つ
(2015年2月)
5.色あわせ(2015年4月)


患者様に合った色あわせを行う
6.最終補綴物装着(2015年6月)


SSTを用いたインプラント治療 10年経過症例
2025年12月17日
患者:S.G様(55歳/男性)
初診日 :2014年6月10日
主訴 :義歯が嫌いで使わず奥歯が咬めないので、全体の治療を希望する
治療計画 :
・上顎補綴物再製
・右下2本インプラント
・左下ジルコニアクラウンブリッジ
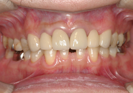
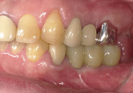
1.初診時口腔内写真(2014年6月)






2.治療終了(2016年6月)
・上顎補綴物再製
・右下2本インプラント
・左下ジルコニアクラウンブリッジ



3.前回治療後5年経過(2021年2月)

【左下ブリッジ5番6番歯根破折の為要抜歯】

【左下5番ソケットシールドテクニック】

【ソケットシールドテクニックにて頬側骨の形態を維持する (右の様な骨のへこみを作らない)】

【通常の抜歯により唇側骨(外側の骨)が吸収してへこんだ症例】
※ 通常、ソケットシールドテクニックは前歯部領域に用いるが小臼歯部でも採用しました
➡審美領域における骨吸収を防ぐためのPET技法の歴史
近年、審美インプラント治療の進化により術者サイドの技術的、肉体的ストレスの軽減、患者サイドへの外科的侵襲度の劇的な軽減を可能とするテクニックが報告されている。審美領域で抜歯を行う際、束状骨の吸収により抜歯窩の形態を維持できず、唇・頬側の骨吸収が起こる。
これに対し、2007年にMaurice、石川、船登らは、ポンティックサイトであれば歯根を軟組織下に保存することで、歯周組織ごと歯槽堤を保存するRST(Root Submergence Technique)を発表した。2010年Hürzelerらは、インプラントサイトで抜歯即時埋入部位を唇舌的に分割し、唇側の歯牙片を保存して舌側の歯牙片を抜歯するSST(Socket Shield Technique)を報告した。
さらに2016年にGluckmanらは、ポンティック部位に歯牙片を残すPST(Pontic Shield Technique)を発表した。 Gluckman H, Salama Mらはこれらの3つテクニック【RST、SST、PST】をPET(Partial Extraction Therapy)と総称した。また、現在では船登らによりHIT placement(Hybrid Implant Tooth placement)もPETに加えられている。
➡PET(Partial Extraction Therapy)パーシャルエクストラクションセラピーとは?
以下4つの技法の総称
① RST(Root Submergence Technique)ルートサブマージェンステクニック
・・・歯と歯の間(ポンティックサイト)で有れば歯根を軟組織下に保存することで、歯周組織ごと歯槽堤を保存する
② PST(Pontic Shield Technique)ポンティックシールドテクニック
・・・歯と歯の間(ポンティックサイト)で有れば歯根片を軟組織下に保存することで、歯周組織ごと歯槽堤を保存する
③ SST(Socket Shield Technique)ソケットシールドテクニック
・・・インプラント治療で抜歯即時埋入部位を唇舌的に分割し、唇側(外側)の歯牙片を保存して舌側(内側)の歯牙片を抜歯して抜歯窩治癒後の顎の骨の唇側(外側)の吸収を抑える技術
《 適応症 》
・ う蝕、メタルポストコアが太く、残存歯質が薄くて保存不可能
・ 根尖病変による予後不良の診断を予測する
・ 歯根破折やマイクロクラックを認め予後不良の診断を予測する
・ 外部吸収を認め予後不良の診断を予測する
・ いわゆる戦略的抜歯
④ H I T(Hybrid Implant Tooth placement)ハイブリッドインプラントトゥースプレイスメント
・・・抜歯直後の歯槽骨や歯ぐきがまだ残っている状態を最大限活かして骨が減る前にインプラントを埋入する治療法
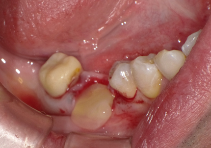
4.左下5番ソケットシールドテクニック
【ソケットシールドテクニックにより保存した歯牙片の内側にインプラントを埋入するCTシミュレーション】

【上記シミュレーションにて作製したガイドを用いたインプラント埋入】

5.インプラント埋入(2021年6月)


※ 初期固定35N/cm確認する
6.二次手術
インプラント周囲の角化歯肉(付着歯肉:骨に固定されてる歯肉)の獲得を目的に歯肉弁を移動する


7.インプラントの型どり
インプレッションコーピングを用いての型どり
➡インプラントの“正確な位置”を模型に再現するための型取り専用パーツのこと。これを付けて印象採得することで、被せ物が口の中でぴったり合う精密な補綴物を作ることができます。


8.補綴物完成(埋入後5か月)

9.左下3本最終補綴装着(2021年11月)



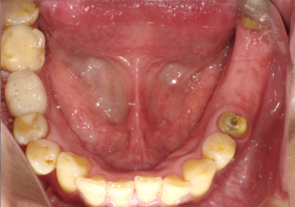
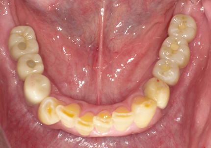
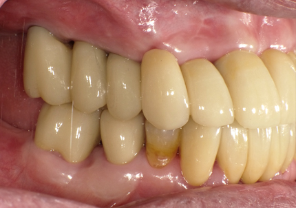
10.口腔内写真(2022年2月)


特に問題無く経過はとても良いです。
患者様ご本人も「良く咬めてとても良い」と満足されています。
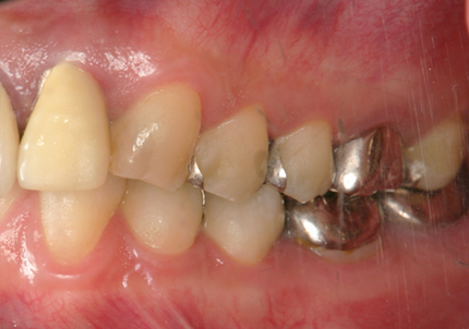
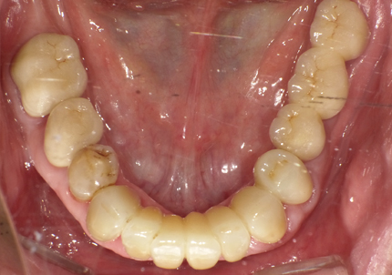
11.口腔内写真(2025年6月)


右下2本初診より9年経過、左下3本埋入後4年経過、ともに経過良好。
RSTとSSTを用いた破折・脱落受傷の治療
2025年12月10日
通院患者様が自転車転倒事故にて前歯5本破折や脱落の受傷する(2018年5月17日)
(受傷翌日来院時口腔内外写真)


受傷時パノラマレントゲン(2018年5月17日)

受傷前の口腔内写真(2012年8月6日 前歯部治療終了時写真)


初診日 : 2018年5月17日
主訴 :事故により怪我をしたので外科手術の手術回数を少なくしてほしい。今回の治療を最後にして長期予後が良好、安定的な術式を希望する。
治療計画 :
・右上3.1番 歯牙破折… インプラントブリッジ
・左上2番 歯牙破折…インプラントブリッジ
・左上1番 脱落…インプラントブリッジ
・右下1番 脱落…ブリッジ
検討事項:折れた前歯について通常通りの抜歯を行うと顎の骨が溶ける(束状骨の吸収により抜歯窩の形態を維持できず唇・頬側の骨吸収が起こる)。その際に溶けた骨により隣在歯の歯肉と被せ物(補綴物)との連続性が出来ずに凹面になり食べ物(食物残渣)が溜まる状態になる。このストレスを劇的に軽減を可能とするSSTテクニックが近年欧米で発表された。
【 通常の抜歯により唇側骨(外側の骨)が吸収し、へこんだ症例 】



➡審美領域における骨吸収を防ぐためのPET技法の歴史
近年、審美インプラント治療の進化により術者サイドの技術的、肉体的ストレスの軽減、患者サイドへの外科的侵襲度の劇的な軽減を可能とするテクニックが報告されている。審美領域で抜歯を行う際、束状骨の吸収により抜歯窩の形態を維持できず、唇・頬側の骨吸収が起こる。
これに対し、2007年にMaurice、石川、船登らは、ポンティックサイトであれば歯根を軟組織下に保存することで、歯周組織ごと歯槽堤を保存するRST(Root Submergence Technique)を発表した。2010年Hürzelerらは、インプラントサイトで抜歯即時埋入部位を唇舌的に分割し、唇側の歯牙片を保存して舌側の歯牙片を抜歯するSST(Socket Shield Technique)を報告した。
さらに2016年にGluckmanらは、ポンティック部位に歯牙片を残すPST(Pontic Shield Technique)を発表した。 Gluckman H, Salama Mらはこれらの3つテクニック【RST、SST、PST】をPET(Partial Extraction Therapy)と総称した。また、現在では船登らによりHIT placement(Hybrid Implant Tooth placement)もPETに加えられている。
➡PET(Partial Extraction Therapy)パーシャルエクストラクションセラピーとは?
以下4つの技法の総称
① RST(Root Submergence Technique)ルートサブマージェンステクニック
・・・歯と歯の間(ポンティックサイト)で有れば歯根を軟組織下に保存することで、歯周組織ごと歯槽堤を保存する
② PST(Pontic Shield Technique)ポンティックシールドテクニック
・・・歯と歯の間(ポンティックサイト)で有れば歯根片を軟組織下に保存することで、歯周組織ごと歯槽堤を保存する
③ SST(Socket Shield Technique)ソケットシールドテクニック
・・・インプラント治療で抜歯即時埋入部位を唇舌的に分割し、唇側(外側)の歯牙片を保存して舌側(内側)の歯牙片を抜歯して抜歯窩治癒後の顎の骨の唇側(外側)の吸収を抑える技術
《 適応症 》
・ う蝕、メタルポストコアが太く、残存歯質が薄くて保存不可能
・ 根尖病変による予後不良の診断を予測する
・ 歯根破折やマイクロクラックを認め予後不良の診断を予測する
・ 外部吸収を認め予後不良の診断を予測する
・ いわゆる戦略的抜歯
④ H I T(Hybrid Implant Tooth placement)ハイブリッドインプラントトゥースプレイスメント
・・・抜歯直後の歯槽骨や歯ぐきがまだ残っている状態を最大限活かして骨が減る前にインプラントを埋入する治療法
1.今回の術式の選択

・右上3番 ①RST
・右上1番 ③SST
・左上2番 ③SST
・右上2番通常の埋入
・下顎前歯ブリッジ
2. 右上3番RST(ルートサブマージェンステクニック)






3. 右上1番・左上2番 SST(ソケットシールドテクニック)


【右上1番SST 口蓋側歯根の抜歯】


【右上1番 SST インプラント埋入後に初期固定オステル値の測定】



← 右上1番 SST CT画像
※ CT画像にて歯根片が確認できる
【左上2番 SST 口蓋側歯根の抜歯】



← 左上2番 SST CT画像
※ CT画像にて歯根片が確認できる
4. 右上2番インプラント埋入
埋入後に初期固定35N/cmを確認する



← 右上2番 通常の埋入 CT画像
5. 下顎前歯ブリッジ装着


6. インプラントシリンダーテックにより外れないブリッジタイプの仮歯
➡ 骨に埋めたインプラントを支えにして、複数の歯をまとめた仮歯を固定する方法のこと


7. インプレッションコーピングによる全顎印象


8. 咬合採得


9. ジルコニアフレーム・アバットメント試適




10. 上顎インプラントアバットメント装着 口腔内写真


11. ビスケットベイク(素焼き) 口腔内調整
➡素焼き段階のセラミックを口の中に入れて、噛み合わせやフィット感を調整する作業のこと。この段階でしっかり調整しておくと、最終焼成後の歯がより正確に噛み合うようになります。




【 口腔内にて歯冠長の最終調整 】


12. 補綴物完成





【受傷時 2018年5月17日】

【最終補綴物装着 2020年3月19日】

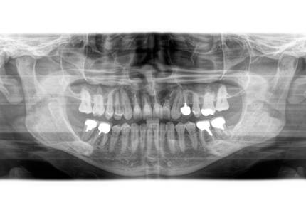
【受傷時 パノラマレントゲン】

【最終補綴物装着 パノラマレントゲン】

【受傷前口腔内写真】

【受傷後最終補綴物装着】

前歯の受傷前の歯肉の膨らみが、抜歯後にも変わらない状態を維持してインプラント治療されています。患者様、術者も結果がとても良いと満足しています。
13. 最終補綴物装着より4年経過 (2024年10月18日)

PRGFを用いたインプラント治療
2025年11月12日
主訴 :下顎6番歯冠破折
治療計画 :抜歯+PRGF後、インプラント治療
初診日 : 2023年4月1日
既往歴 : 特記事項なし
➡PRGF(Plasma Rich in Growth Factors)とは?
患者様自身の血液から抽出された成長因子を多く含む血漿を用いて、治癒促進、組織の再生を促進する医療技術です。歯科・成形外科・美容医療など幅広く応用されています。
「PRGF治療の症例・成長因子を取り出す過程について」
こちらで詳しくご説明しています→ https://www.ro-dental.jp/blog/2025/09/30/prgf/
1.初診時口腔内(2023年4月1日)


2.下顎6番歯冠破折により抜歯(2024年9月2日)


3.PRGF(2024年9月2日)
① F2クロット抜歯窩に填入



② F2+Bio-Oss填入


③ F1メンブレンで抜歯窩を覆う


4.インプラント埋入(2025年1月22日)
① (患者さまのご都合により治療が一時中断したため)抜歯後5か月経過後に1次オペとなり、十分な骨質・骨量となる


↑ Sirona Guide2使用
② PRGFにより硬く充実性の高い骨質を得る


↑ ドリリング
③ 埋入初期固は定理想的な35N/cm(ニュートンセンチメーター)
THA(テンポラリーヒーリングアバットメント)装着し、1回法とする



➡THA(テンポラリーヒーリングアバットメント)
インプラント手術後に、歯ぐきの治癒を促し、最終的な上部構造(被せ物)を装着するまでの間に一時的に使用する土台のこと。インプラント体を保護し、健康な歯ぐきの形を整える役割を果たし、最終的な歯冠を装着しやすくします。
5.埋入後2か月、ISQ 76を示し補綴物作製開始(2025年3月21日)


➡ISQとは?
Implant Stability Quotientの略
「インプラント安定指数」といい、安定性を示す指標の一つです。このISQを測定する器械をISQ測定器、もしくは共振周波数分析器といいます。
6.最終補綴物完成 右下6番セット(2025年4月22日)


抜歯時にPRGFを併用することにより抜歯窩の骨再生のスピードが速く、より硬い骨にインプラント埋入が可能となり結果として高いISQが得られた



↑ 右下6番抜歯前(2024年7月12日)

↑ 最終補綴物装着(2025年4月22日)

↑ 初診時パノラマレントゲン(2023年4月1日)

↑ 右下6番最終補綴物セット時パノラマレントゲン(2025年4月22日)




