


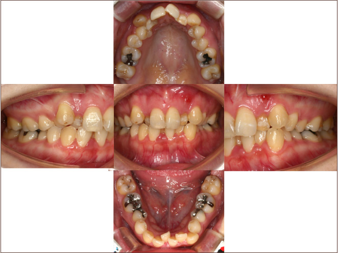
歯を抜かない矯正治療
当院の矯正治療は基本的に歯を抜くことはありません。
(親知らずを抜く場合はあります)
| 0歳~3歳 |
小児矯正治療(口腔機能発達不全の指導を含む) |
| 3歳~15歳 |
筋機能矯正装置とMFT・トレーニング(アクティビティ)・健康サポートを用いた治療 (T4K/マイオブレース・オーソティン・プレオルソ等) |
| 8歳~成人 |
SH療法(SH装置を夜間8~10時間装着) 狭い歯列を広げる機能矯正装置で、 機能と形態(構造)のバランスを整えて 心身の健康増進をプロモートする方法(健康サポート) |
| 6歳~成人 |
インビザライン(マウスピース矯正) 主に見た目の歯並びをを治す方法(20~22時間の装着) |
- 健康サポートとは?
- 幼小児期からより健康な身体づくりをサポート(姿勢・咀嚼・嚥下・食事などの指導)をしていきます。
*一般的なブラケットやワイヤーを使った矯正治療は補助的には使う事がありますが、メインでは扱っておりません。
子供~成人 ハイブリッド矯正:床矯正・ワイヤー矯正・マウスピース矯正など複合的な装置を用いた矯正方法により、患者さん個々のゴールに向かって、個別に最適化した治療を提供します。



呼吸とは、酸素を取り込み、二酸化炭素を排出することです。
私たちは身体の中で2つの呼吸をしています。
体外から呼吸器系を通して行う外呼吸と体内の細胞レベルで行われる内呼吸です。口呼吸は外的呼吸の一つの方法です。
口呼吸とは専門的には「こうこきゅう」と読みます。
一般的には、「くちこきゅう」と呼ばれています。
鼻呼吸は、専門的には「びこきゅう」と読みます。一般的には
「はなこきゅう」と言われています。
口呼吸とは、「吸う息、吐く息のどちらか一方でも口から行う呼吸法」です。
私たちは、それに加えて、「常時開口状態における口唇閉鎖不全(いわゆるポカン口)」も含めています。
口呼吸
口呼吸あるいはその弊害についての情報が増えてきています。
最近マスコミでもよくとりあげられるようになりました。
ただ、口で息をするだけでそんなに身体にわるいとはちょっと信じられないかもしれません。
私は、一般の方々にもこの口呼吸の怖さ、歯並びやかみ合わせ、呼吸、咀嚼、嚥下、発音、姿勢、食事、睡眠、成長発育、心身の不調、病気等の影響について、知っていただきたいと思います。
口呼吸の口(お口ぽかん)
鼻呼吸
鼻呼吸は、哺乳類の正しい呼吸法です。(ヒトだけが口呼吸もしています)鼻呼吸をすると吸い込む空気に適当な湿度・温度を与え、空気中の微細なゴミや細菌・ウィルスなどの異物を鼻の中の毛や粘膜や粘液に吸着して、気管や肺を保護しています。
さらに、鼻の奥は脳の底部と接しているので、車のエンジンのラジエーターのように脳の過熱を防ぐ役割もします。 そもそも生まれたての赤ちゃんは、鼻呼吸をしています。
ヒトは出生直後は、みんな鼻呼吸でその後半年から一歳以内に主に鼻呼吸の人と口呼吸の人に分かれていくといわれています。
呼吸の様式による口腔内の状態・変化を模式図で示します。
呼吸による口腔内の状態・変化
口呼吸(鼻呼吸障害)の弊害
- 鼻閉(鼻づまり)
- 気管、気管支、肺の感染及び炎症の誘発
- 換気効率の低下(低酸素状態)
- 換気リズムの乱れ(無呼吸症等)
- 睡眠障害から摂食障害へ
- 情緒あるいは性格の変化
- 病巣疾患(感染)の誘発
- 味覚障害(嗅覚・触覚障害)
- 精神的な安定度の低下
鼻呼吸の有意性
- 哺乳類の正常な呼吸は、鼻呼吸
- 吸気された空気の加温
- 吸気された空気の加湿
- 吸気された空気の浄化
- 気道粘膜、肺の保護
- 換気の適正化
- 呼吸抵抗による最適な呼吸リズムの獲得
- 呼吸深度の調節(呼吸の深浅)
NHK
放送大学『人体の構造と機能』第10回「呼吸器系の構成と機能」より引用


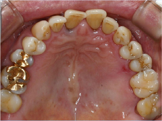
狭い歯列(狭窄歯列)によって、舌が歯列の中に収まらない状態です。
●高口蓋 ●低位舌 ●口呼吸
狭窄歯列(高口蓋)
狭窄歯列(低口蓋)
狭窄歯列(低位舌)
右のように、狭窄歯列だと舌は、狭い歯列に阻まれて、前方や上方の口蓋に自由に動くことができません。その結果、舌は低い位置(低位舌)にあり、前方に出ず後方に位置するので、気道が狭くなってしまっています。
一方、左のように、広い歯列だと舌は、前方にも上方にも自由に動けるので、舌は普段は口蓋についていて鼻呼吸が無理なくできているのです。
舌が正常な位置にある
舌が低い位置にある
舌の正しい位置
正しい位置
低い位置

狭い歯列(狭窄歯列(きょうさくしれつ))
高口蓋(上顎が深い→鼻腔が狭い)
舌が歯列に納まらない→低位舌
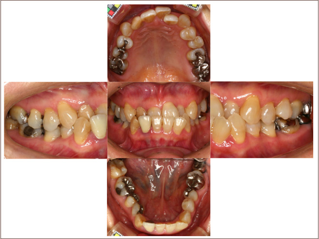
歯並びが悪い
かみ合わせが悪い
