PRGF(Plasma Rich in Growth Factors)
患者様自身の血液から抽出された成長因子を多く含む血漿のことで、治癒促進、組織の再生を促進する医療技術です。歯科・成形外科・美容医療など幅広く応用されています。
当院では、再生医療の中でも注目されているPRGF治療というものを行っています。患者さん自身の血液に含まれる血小板を未活性のまま取り出し患部に戻すことで、組織の再生を促す再生医療テクノロジーです。
世界では歯科のみならず、スポーツ整形、美容外科、眼科でも応用されています。
スペインのプロテニス選手、ラファエル・ナダル選手もPRGF治療によりケガから回復しました。他にも多くの有名なプロスポーツ選手がこの治療を受けてケガから回復しています。
PRGFは、「自分の血液で自分を治す」再生医療です。
ご自身の血液の中に含まれる「成長因子(グロースファクター)」を利用して、傷の治りを早めたり、骨や歯ぐきの再生を促す治療法です。
人工的な薬や他人の血液は一切使わず、ご自身の血液だけを利用する安全な方法です。
-
■治癒の期間→統計的に1.4倍ほど早くなります
-
■骨の状態→再生した骨もより強い状態となります
メリット
-
●治癒が早い
成長因子の働きで、傷の治りが通常よりも早くなります。
-
●痛みや腫れが少ない
炎症を抑える作用もあるため、治療後の痛みや腫れを軽減できます。
-
●安全性が高い
ご自身の血液を使うので、アレルギー反応や副作用のリスクがほとんどありません。
-
●適用範囲が広い
歯科治療(インプラント、歯周病治療、抜歯後など)だけでなく、整形外科や美容医療など、様々な分野で活用されています。
注意点
-
●保険適用外
自由診療となるため、費用がかかります。
-
●採血が必要
治療の前に採血が必要です。
-
●効果には個人差がある
失われた骨の量や状態によっては、治療期間が長くかかる場合もあります。
PRGF治療は
「皆さんの血液の中にある治癒力を引き出して、体を早く治すお手伝いをする」
画期的な治療法です。
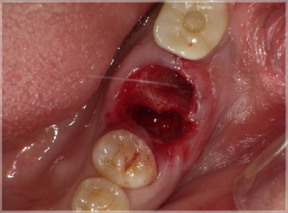
リッジプリザベーションとは?
歯を抜いたあと、そのままにしておくと、歯を支えていた骨(歯槽骨)が時間とともにやせてしまい
- • 将来的に、ブリッジ・入れ歯・インプラントなどの補綴物が作りづらくなる
- • 見た目(歯ぐきの形)が変わる
といった問題が起こることがあります。
そこで行うのが「リッジプリザベーション(抜歯窩保存術)」です。
抜歯後の穴に自分の骨や人工の骨補填材を入れ、膜などで保護して、骨のやせを防ぎます。
上記の写真はリッジプリザベーションにPRGFを用いたもので、非常に高い効果を得ることができます。
●PRGFを利用した場合
-
抜歯直後
-
15日後
●通常の治療
-
抜歯直後
-
15日後
抜歯してできた穴にPRGFを入れると、上皮や骨の再生が促進され、短期間で抜歯窩がふさがります。また、抜歯後の痛みと腫れも軽減します。
一方、自然治癒を待つ場合には、穴が完全にふさがるまでに数ヶ月かかります。その間にドライソケット(抜歯窩治療不全)になったり、食べ物が詰まるなど、痛みや悪臭を伴うこともあります。
●PRGFを利用した場合
●通常の治療
インプラントを埋入するときに重要なのは、しっかりとした土台があることと、インプラントが周りの骨ときちんと生着することです。
上の写真では、PRGFを使った場合インプラントの周りにしっかりと骨ができていることがわかります。しっかりとした骨をより早い期間で再生できれば、長期に渡るインプラント治療の期間が短くなるだけでなく、その後の経過にもよい影響が出ます。
PRGFの治療を行うために、当院では
厚生省登録の再生医療センターとして
登録されています。(毎年定期報告実施)
登録されるために院内の施術の環境・体制について厳しい審査を受け、合格しています。
自家多血小板血漿(PRGF:Plasma Rich in Growth Factors)を用いた治療のための説明・同意書
PRGFによる治療をご希望の方は
お気軽にお電話ください









