- カテゴリー一覧
- 月別アーカイブ
- 2026年1月 (1)
- 2025年12月 (4)
- 2025年11月 (3)
- 2025年10月 (5)
- 2025年9月 (1)
- 2025年5月 (1)
- 2025年1月 (1)
- 2024年1月 (1)
- 2023年12月 (1)
- 2023年1月 (1)
- 2022年12月 (1)
- 2022年11月 (1)
- 2022年1月 (1)
- 2021年12月 (1)
- 2021年9月 (1)
- 2021年4月 (1)
- 2020年10月 (1)
- 2020年9月 (1)
- 2020年8月 (1)
- 2020年5月 (1)
- 2020年3月 (2)
- 2020年2月 (1)
- 2020年1月 (2)
- 2019年10月 (2)
- 2019年5月 (1)
- 2019年4月 (1)
- 2019年3月 (2)
- 2019年2月 (1)
- 2018年9月 (2)
- 2018年6月 (1)
- 2018年4月 (1)
- 2018年2月 (1)
- 2018年1月 (1)
- 2017年12月 (2)
- 2017年8月 (1)
- 2017年4月 (1)
- 2017年1月 (1)
- 2016年1月 (2)
- 2015年4月 (1)
- 2015年1月 (1)
- 2014年5月 (1)
- 2014年3月 (1)
- 2014年1月 (1)
- 2013年9月 (1)
医療法人社団聖仁会 呂歯科診療所
〒216-0006
川崎市宮前区宮前平1-10-12桔梗ビル201
※駅前すぐです
TEL 044-865-9700
フルマウス治療17年間経過症例
2025年10月10日
フルマウス治療(全顎治療)とは
歯1本ではなくお口全体を一口腔単位として捉え、虫歯、歯周病、噛み合わせ、矯正、審美などあらゆる分野を総合的に診断し、機能と見た目の両方を改善する歯科治療のことです
患 者 : S.K様 女性
主 訴 : 補綴物破損、義歯不適による咀嚼障害のためインプラント治療希望
初診日 : 2003年07月11日
既往歴 : 特記事項なし
治療計画
- 右上サイナスリフト
- 上下インプラントブリッジにて補綴治療
- 接客業の為治療中仮の歯を用いたい
- 歯科治療中である事を外部から分からない様にしたい
特記事項
仮歯を維持する為に隣接する部位を時間をずらして抜歯となり、インプラント治療する為の治療期間が通常より長くなる事を承諾して始める
➡サイナスリフトとは?
インプラント治療で上顎の骨の厚みが不足している場合に、上顎洞(上顎の空洞)の底に骨補填材を入れて骨を増やす手術法で、「上顎洞底挙上術」とも呼ばれます。上顎の奥歯にインプラントを埋め込む際に、骨量不足でインプラントが安定しない場合に適用され、数ヶ月かけて骨が成熟した後にインプラント埋入手術を行います。
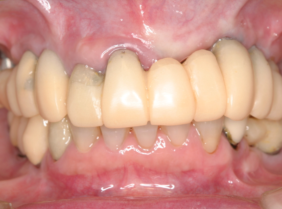
1.初診時(2003年)




2.ブリッジ除去後治療用仮歯のブリッジ装着


3.治療中の仮歯(2007年)


インプラント埋入終了
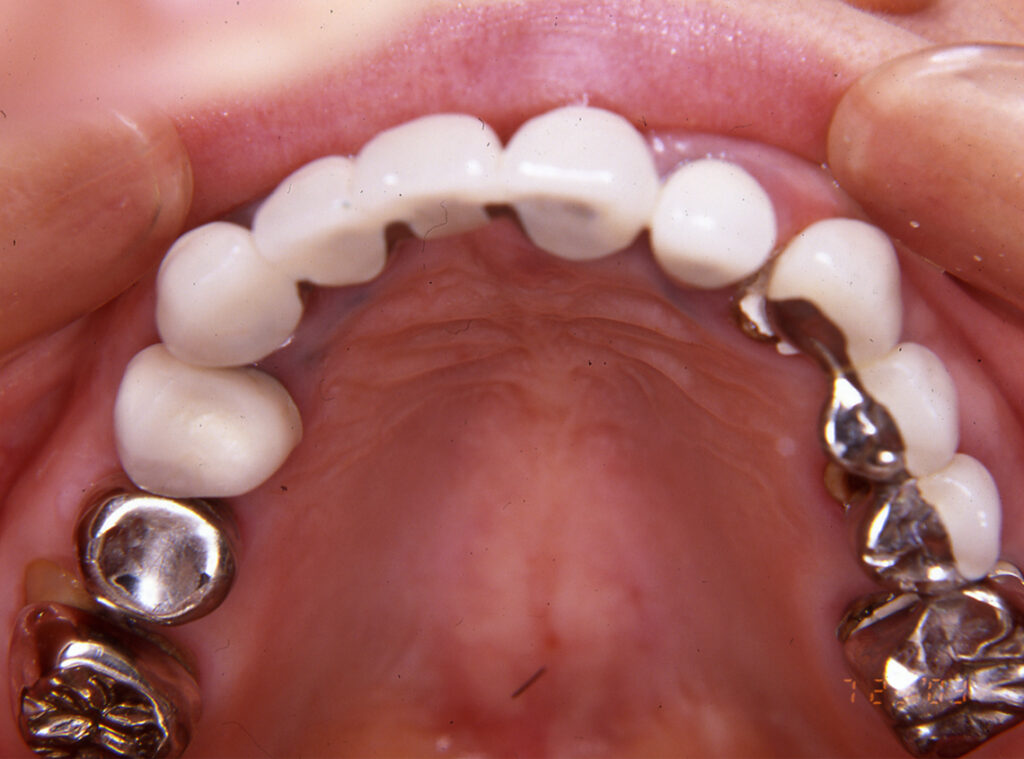
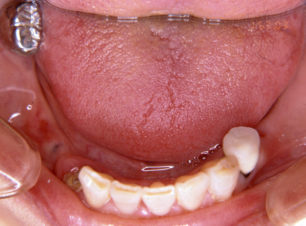
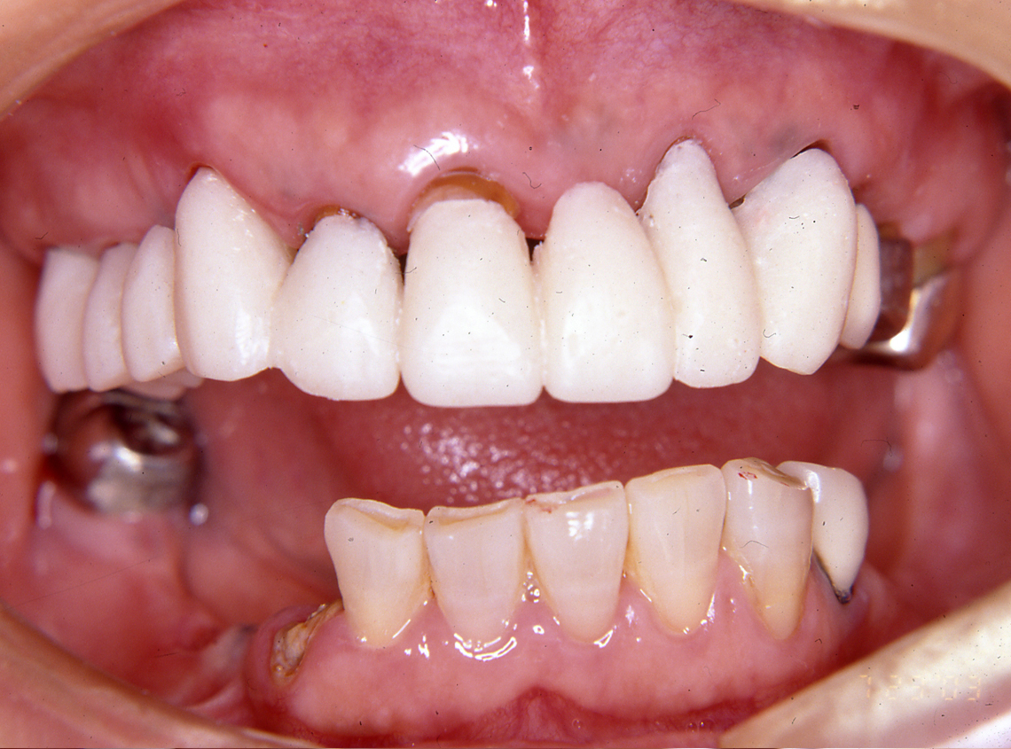
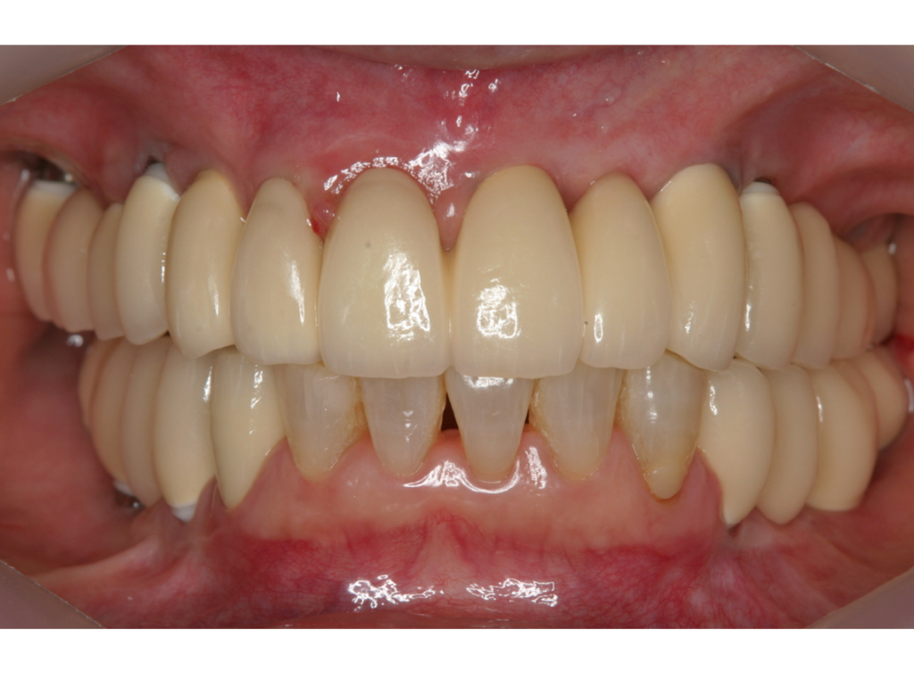
4.最終補綴物装着(2008年)




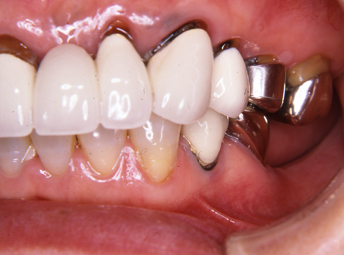
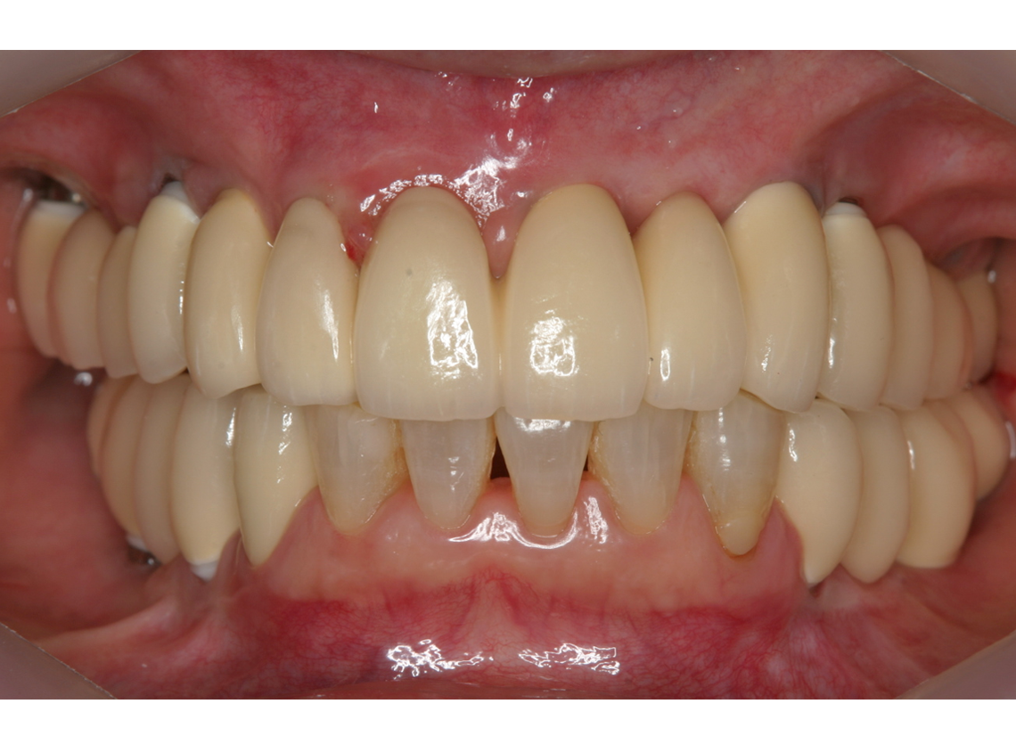
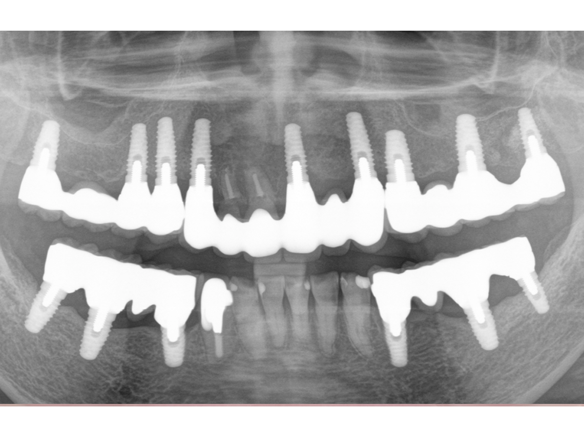
5.術後14年経過(2022年)


6.術後17年経過(2025年)

2008年8月27日撮影

2025年4月10日撮影
インプラント埋入部の骨レベルは埋入時と変わらず、患者様ご自身のメンテナンスも良好で、経過は非常に良く、満足されています。
PRGF治療の症例について
2025年9月30日
PRGF(Plasma Rich in Growth Factors)
患者様自身の血液から抽出された成長因子を多く含む血漿のことで、治癒促進、組織の再生を促進する医療技術です。歯科・成形外科・美容医療など幅広く応用されています。
- インプラント手術
- 骨造成(GBR・サイナスリフト)
- 歯周組織再生
- 抜歯後の治癒促進
- 口腔粘膜潰瘍や傷の治癒促進
成長因子の取り出す過程

①採血

②血液の遠心分離

③分画作業の準備

④分画(成長因子の取り分け)

⑤分画完了

⑥アクチベーターの準備

⑦アクチベーター(適量を計測)

⑧アクチベーターの填入

⑨F1の加温(37℃)

⑩F1の加温(37℃)

⑪F1ゲルの完成

⑫F2添加の骨補填材の準備

⑬F2へ骨補填材の混和

⑭F2

⑮F2+Bio-Oss

⑯F1メンブレン
症例
- 82歳 女性
- 破折による抜歯
- インプラント補綴治療に備えるための歯周組織再生、骨保存処置
➡リッジプリザベーション(PRGF法)とは?
抜歯後に歯槽骨(顎の骨)の吸収、陥没を防ぎ、将来的に義歯、インプラント補綴治療に備えるための骨保存処置
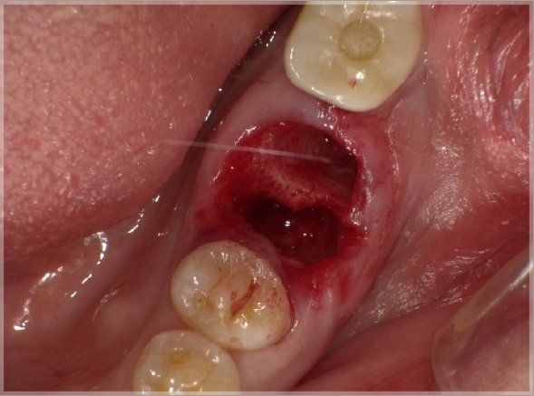
1.折れた歯を抜歯します

①破折線確認

②抜歯
2.抜歯窩にPRGFの処置をします

③PRGF(F2+骨補填材Bio-Oss)填入

④抜歯窩を十分に満たす
3.メンブレンで抜歯窩を閉鎖します

⑤F1メンブレン作製

⑥F1にて抜歯窩を閉鎖する
4.抜歯窩の治癒が促進しています(術後57日経過)

⑦抜歯PRGF後57日経過

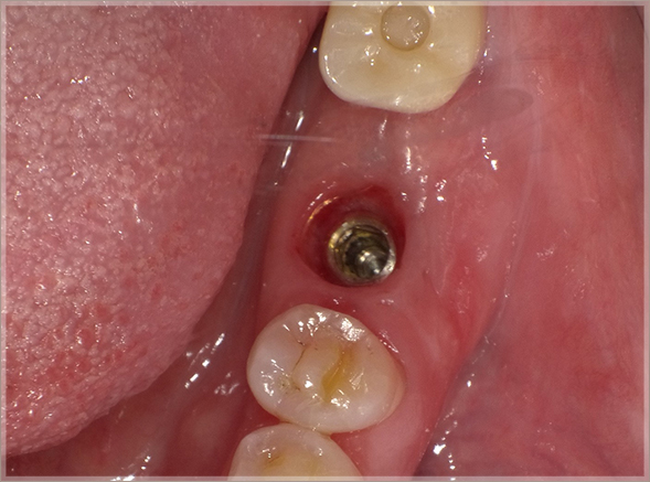
⑧インプラント手術開始
5.骨がしっかりできました

⑨抜歯窩の骨量、骨質を確認

⑩ドリリング
6.埋入ポジションを確認します

⑪埋入ポジションの確認

⑫埋入初期固定35N/cm(理想的)
7.角化歯肉の安定を考慮した縫合をします

⑬初期固定値が高いので1回法インプラント治療としてテンポラリーヒーリングアバットメントを埋入と同時にセット、角化歯肉の安定を考慮して縫合する。
8.補綴を開始します(埋入後61日経過)

⑭埋入後61日経過、補綴開始

⑮オステル値81(ISQ)
オステル値81は、インプラント後の骨と歯肉状態が高く安定していることを示しています。
※ISQ:Implant Stability Quotientの略で「インプラント安定指数」といい、安定性を示す指標の一つです。このISQを測定する器械をISQ測定器、もしくは共振周波数分析器といいます。
9.術前と術後の確認

⑯術前

⑰術後
考察
経過
- 破折線確認、抜歯後PRGF
- 抜歯PRGF後57日、インプラント埋入
- 埋入後61日、二次オペ時オステル値81
結果
- 82歳高齢女性の治療においては、他科との処方薬剤の関連で1,2ヶ月の治療期間の減少はとても有意義と考えられる。
- 抜歯窩の吸収を抑えて治療の外科的侵襲度を最小にする為にリッジプリザベーションは有益である。
- 治療後にオステル値81という高い安定性を獲得できたのもPRGF治療によると考えられる。
リッジプリザベーションにPRGFを組み合わせることで、
抜歯後の骨造成、歯周組織の再生を促進し、治療期間が短縮します。
安全にインプラント手術を行うことができます。




